当院はマウスピース矯正に特化し、軽度のすきっ歯から複雑なガタガタ(叢生)まで、数多くの症例と向き合ってまいりました。
上記症例以外にも実際に治療を受けた患者様の費用・期間・ビフォーアフターを多数公開しています。あなたと似たお悩みを持つ方の変化を、ぜひその目で確かめてみてください。
マウスピース矯正を検討される方の多くが、最後の一歩で悩まれます。
歯並びを整えることは、一生の健康と自信を手に入れる大きな決断です。
だからこそ、私たちは「無理な支払いで今の生活を犠牲にしてほしくない」と考えています。
また、矯正治療を行う上で、専門医の治療を受けることが何よりも大切です。
当院はマウスピース専門のドクターが対応するため、失敗のない矯正治療を提供することが可能です。
当院では、患者様一人ひとりのライフスタイルに合わせたお支払い計画を一緒に考えます。無理なく気軽に理想の歯並びを実現できるように、お客様に合わせたお支払い方法をご提案いたします。
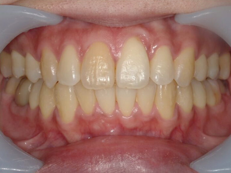
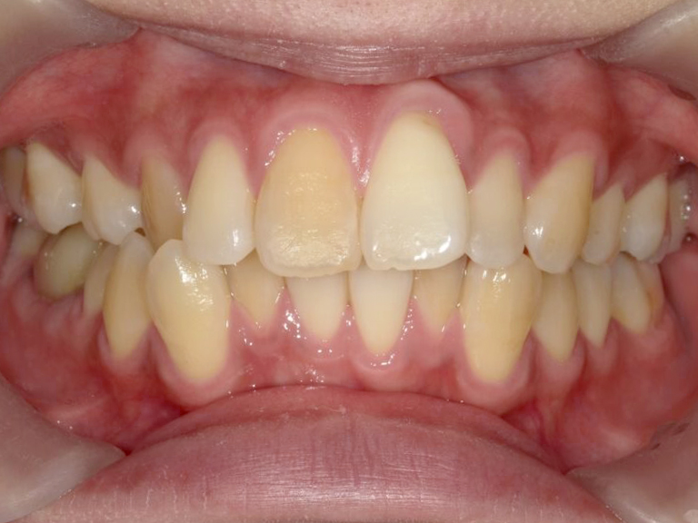
| 主訴 | 歯並びを改善したい |
|---|---|
| 金額 | 全体矯正 88万円 デンタルローン利用で、 月々8,800円 |
| 期間 | 8ヶ月 |
| 副作用 | 痛み・治療後の後戻り・歯根吸収・歯髄壊死・歯肉退縮 |
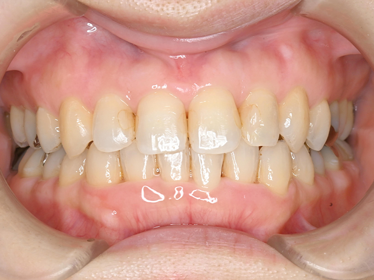
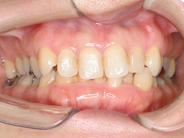
こちらは、10年前に矯正治療(抜歯あり)行ったが、徐々に後戻りが起こってしまい、また歯並びが悪くなってしまった症例です。
再度矯正治療をされたいとのことで、マウスピース矯正に強みがある当院にお越しになりました。
当院でインビザラインによる矯正歯科治療を行い、治療期間がわずか12ヶ月で完了しました。
| 主訴 | 後戻りを治したい |
|---|---|
| 金額 | 全体矯正 88万円 デンタルローン利用で、 月々8,800円 |
| 期間 | 12ヶ月 |
| 副作用 | 痛み・治療後の後戻り・歯根吸収・歯髄壊死・歯肉退縮 |
発注されたマウスピースが歯科医院に届くまでの間に、インビザラインによってどのように歯が動いていくのか、また最終的なイメージがどのようになるのか、というのをコンピュータ上で見ていただくことができます。
また、治療期間が正確にどのくらいになるのかを知ることもできます。
この技術はインビザライン特有のもので、インビザラインのこれまでの800万人以上にものぼる膨大な治療データがあるため、歯の動きを正確に予測することが可能です。
こちらの動画はクリンチェックと呼ばれる歯科医師が製作する実際の治療シュミレーション動画です。
口腔内スキャナーで得られた歯型データを分析し、コンピューター上で歯の動きを3Dシミュレーションすることで、治療開始から終了までの治療計画を立てることができます。
矯正治療で必要になる全てのマウスピースが歯科医院に届いたら治療開始です。1つ目のマウスピースを使って、マウスピースの付け方・外し方の練習、使用上の注意事項、お手入れ方法などについての説明を受けていただきます。
マウスピースは1日に20時間以上の装着が必要です。1つのマウスピースを装着し続ける期間は2週間。その後は担当医の指導の元、ご自分で交換していただくため、歯科医院に通う手間がなくとても簡単です。
全てのマウスピースを装着し終えたら治療は終了です。
しかし、そのまま放置していると、矯正で動かした歯というのは元に戻ろうとする力が働き、再び歯並びが崩れてしまいます。これはどの矯正法でやっても同じことです。
それを防ぐためには、矯正治療に要した期間と同程度の期間、保定装置(リテーナー)と呼ばれる装置を就寝中などに装着していただきます。
この保定期間中は、6ヶ月に1度くらいのペースで歯並びの状態を確認し続けていきます。
| 部分矯正 | 半年〜1.5年 |
|---|---|
| 全顎矯正 | 2年〜2.5年 |
| 相談料 | 無料 |
|---|---|
| 部分矯正 | 40万円〜(税抜) |
| 全顎矯正 | 80万円〜(税抜) |
当院では毎月定額の分割払いであるデンタルローンの制度を整えています。マウスピース矯正であれば、月額4,400円〜から利用可能ですので、ぜひご検討ください。
また、当院のデンタルローンはクレジットカードの分割払いよりも安い金利でご利用ができます。
当院ではマウスピース矯正(インビザライン)の学生割と友達セット割引を行っております。
どちらも併用可能ですので、ぜひご活用ください。
料金体型も分かりやすくするため、「トータルフィー」制度を採用しています。
トータルフィーとは、治療費が提示された金額から変わらない支払い制度のことです。トータルフィーの金額の中には、毎月の調整料・管理費が含まれていますので、治療期間がもし延長した場合でも、治療費が変更になることはありません
医療費控除の計算式は、
「医療費控除額 = 実際に支払った医療費の総額 - 保険金等で補填される金額 - 10万円」
になります。
当院の治療費を元に、控除額の一例を計算してみると、
総所得300万円〜695万円の方だと、
6万8,000円(所得税)と3万4,000円(住民税)が控除され、合計10万2,000円が戻ってきます。
総所得300万円〜695万円の方だと、
15万6,000円(所得税)と7万8,000円(住民税)が控除され、合計23万4,000円が戻ってきます。
詳しくは、下記の国税庁のHPをご確認ください。

当院は矯正歯科、特にマウスピース矯正に強いクリニックです。
さらに総合歯科という強みから、たとえ患者様が虫歯や歯周病、親知らずの悩みを抱えていらっしゃったとしても、当院一つだけで全ての歯科治療を完結させることが可能ですので、わざわざ他のクリニックに通う必要がございません。
何でもお気軽にご相談にいらしてください。
マウスピース矯正や審美歯科、虫歯治療などさまざまな治療例を掲載していますので、ご興味ある方はぜひ一度ご覧ください。
Nakagawa.Cuore.Dental中川クオーレ歯科[中川で愛される歯医者に]
優しく丁寧な治療を心がけ、頼られるクリニックに。
きっと好きになる中川の歯医者さん。
| 診療時間 | 月 | 火 | 水 | 木 | 金 | 土 | 日 |
|---|---|---|---|---|---|---|---|
| 10:00-13:00 | ● | / | ● | ● | ● | ◎ | ◎ |
| 15:00-20:00 | ● | / | ● | ● | ● | / | / |
◎土曜・日曜は9:00-15:00 休診日:火曜・祝日
※日曜はセミナーや勉強会等で
臨時休診になる可能性があります
電話番号045-507-5665