Nakagawa.Cuore.Dental中川クオーレ歯科横浜市営地下鉄ブルーライン「中川駅」から徒歩30秒の歯医者

症例集

 

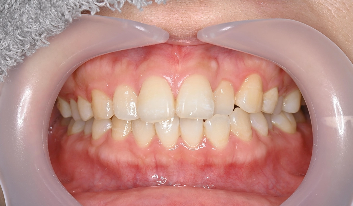
マウスピース矯正による下顎叢生の改善

非抜歯での部分的な歯並び改善 治療前後の比較写真 Before 下の前歯に歯の重なり(叢生)が見られる状態です。 After 下の前歯の歯並びが改善され、整った状態になっています。 患者様のお悩み 下の歯の並びがガタついているとのことで、当院の矯正相談にお越しになりました。特に下の前歯の重なりが気になり、「笑ったときに下の歯が見えるのが気になる」「歯磨きがしづらい」とご相談いただきました。 比較写真から分かる変化 治療前は下の前歯に叢生(歯の重なり)が見られ、歯が重なり合っている状態でした。治療後には下の前歯のガタつきが改善され、綺麗に並んだ歯並びに仕上がっているのが分かるかと思います。 上の歯の並びも維持しながら、下の歯を中心に改善することができました。 治療計画の立案 まずは口腔内写真、レントゲン撮影、デジタルスキャンなど、矯正治療に必要な精密検査を実施しました。 その結果、主に下の前歯の叢生が問題であり、上の歯の並びは比較的良好な状態でした。 歯を並べるスペースを確保できれば、抜歯をせずに治療が可能であると診断しました。 患者様からは「できれば健康な歯を抜きたくない」「仕事中も目立たない方法がいい」とのご要望があったため、以下の治療計画をご提案しました。 治療方針 IPR(歯と歯の間を少し削る処置)歯と歯の間を0.2〜0.5mm程度削り、歯を並べるスペースを確保 非抜歯での矯正治療 下の歯を中心とした歯並びの改善 使用装置 マウスピース型矯正装置(インビザライン) アライナー枚数:10ステージ(10日交換)+ 追加11ステージ 透明で目立ちにくいマウスピース矯正であれば、日常生活や仕事への影響を最小限に抑えられること、取り外しができるため衛生管理がしやすいことをご説明し、患者様にもご納得いただいたうえで治療を開始しました。 治療を終えての結果 治療期間は約8ヶ月で終了しました。下の前歯のガタつきが改善され、自然で整った歯並びに仕上がりました。 治療の途中で歯の動きを確認し、追加で11ステージのアライナーを使用することで、より理想的な歯並びを実現することができました。 患者様からは「下の歯が気にならなくなった」「歯磨きがしやすくなった」「治療中も周りに気づかれなかった」と喜びの声をいただきました。治療後は後戻りを防ぐため、リテーナー(保定装置)を装着していただいています。 担当歯科医師からの所感 今回のように、下の前歯を中心とした軽度から中等度の叢生の症例では、IPRを活用することで、抜歯をせずに治療できるケースが多くあります。 治療の途中で歯の動きを評価し、必要に応じて追加のアライナーで微調整を行うことで、より満足度の高い仕上がりを実現できます。 今回も当初の10ステージに加えて11ステージを追加することで、理想的な歯並びを達成することができました。 マウスピース型矯正装置は、目立ちにくく取り外しができるため、特に社会人の方や、日常生活への影響を最小限に抑えたい方に適した治療法です。 ただし、すべての症例に非抜歯矯正やマウスピース矯正が適応できるわけではありません。骨格的な問題がある場合や、重度の叢生がある場合は、抜歯矯正やワイヤー矯正が必要になることもあります。 お口の状態をしっかりと診査・診断したうえで、患者様に最適な治療プランをご提案いたしますので、まずはお気軽にご相談ください。 治療の詳細 主訴 下の歯の並びがガタついている 年齢・性別 30代女性 症状 叢生(歯の重なり) 治療期間 8ヶ月 治療費 インビザライン:500,000円検査費:33,000円リテーナー:33,000円合計:566,000円 治療内容 マウスピース型矯正装置による非抜歯矯正IPR(歯と歯の間を少し削る処置) 使用装置 マウスピース型矯正装置(インビザライン)10ステージ(10日交換)+ 追加11ステージ リスク・副作用 痛み・治療後の後戻り・歯根吸収・歯髄壊死・歯肉退縮 マウスピース矯正を見る

2025.10.14

マウスピース矯正による叢生の改善

非抜歯での全顎矯正 治療前後の比較写真 Before After 患者様のお悩み 前歯の並びが気になるとのことで、当院にご来院されました。特に上下の前歯にガタつきがあり、「人前で笑うときに歯並びが気になる」「写真を撮るときに口元が気になる」とご相談いただきました。 比較写真から分かる変化 治療前は上下の前歯に軽度から中等度の叢生(歯の重なり)が見られましたが、治療後には前歯のガタつきが改善され、整った歯並びに仕上がっているのが分かるかと思います。 また、上下の歯の噛み合わせも適切に調整されています。 治療計画の立案 まずは口腔内写真、レントゲン撮影、デジタルスキャンなど、矯正治療に必要な精密検査を実施しました。 その結果、奥歯の噛み合わせは良好で、歯を並べるスペースを確保できれば、抜歯をせずに治療が可能であると診断しました。 患者様からは、「できれば健康な歯を抜きたくない」「仕事中も目立たない方法がいい」とのご要望があったため、以下の治療計画をご提案しました。 治療方針 IPR(歯と歯の間を少し削る処置)歯と歯の間を0.2〜0.5mm程度削り、歯を並べるスペースを確保 上顎臼歯の遠心移動奥歯を後方に移動させ、前歯を並べるスペースを作る 非抜歯での全顎矯正 使用装置 マウスピース型矯正装置(インビザライン) アライナー枚数:24ステージ(10日交換) 透明で目立ちにくいマウスピース矯正であれば、日常生活や仕事への影響を最小限に抑えられること、取り外しができるため衛生管理がしやすいことをご説明し、患者様にもご納得いただいたうえで治療を開始しました。 治療を終えての結果 治療期間は約8ヶ月で終了しました。前歯のガタつきが改善され、自然で整った歯並びに仕上がりました。 患者様からは「思っていたより早く終わった」「治療中も周りに気づかれなかった」「笑顔に自信が持てるようになった」と喜びの声をいただきました。 治療後は後戻りを防ぐため、リテーナー(保定装置)を装着していただいています。 担当歯科医師からの所感 今回のように、軽度から中等度の叢生で奥歯の噛み合わせに問題がない症例では、IPRと臼歯の遠心移動を組み合わせることで、抜歯をせずに治療できるケースが多くあります。 マウスピース型矯正装置は、目立ちにくく取り外しができるため、特に社会人の方や、日常生活への影響を最小限に抑えたい方に適した治療法です。 ただし、すべての症例に非抜歯矯正やマウスピース矯正が適応できるわけではありません。 骨格的な問題がある場合や、重度の叢生がある場合は、抜歯矯正やワイヤー矯正が必要になることもあります。 お口の状態をしっかりと診査・診断したうえで、患者様に最適な治療プランをご提案いたしますので、まずはお気軽にご相談ください。 治療の詳細 主訴 前歯の並びが気になる 年齢・性別 20代女性 症状 叢生(歯の重なり) 治療期間 8ヶ月 治療費 インビザライン治療費:880,000円検査費:33,000円リテーナー:33,000円合計:946,000円デンタルローンによるお支払いで、月々21,000円 治療内容 マウスピース型矯正装置による非抜歯矯正IPR、上顎臼歯遠心移動 使用装置 マウスピース型矯正装置(インビザライン)24ステージ(10日交換) リスク・副作用 痛み・治療後の後戻り・歯根吸収・歯髄壊死・歯肉退縮 マウスピース矯正を見る

2025.10.08

後戻りケースの矯正

正面・上顎の治療前後の比較写真 Before After Before After 患者様のお悩み 過去に矯正治療を行ったが、後戻りが起こってしまい、また歯並びが悪くなったとのことで、当院にご来院されました。本症例は、そのリペアケース(やり直しの治療)になります。 当院からの治療の提案 IPR(*1)、上顎臼歯遠心移動(*2)を組み込み、咬合の再構成を図りました。 *1 IPRとは? IPRは、歯と歯の間のエナメル質を少しだけ削ってスペースを作る方法です。 削る量はごくわずかで、歯並びの改善のために必要なスペースを確保するために使われます。歯を抜かずに矯正治療を進めたい場合や、少しだけのスペースが必要な場合に有効です。 *2 上顎臼歯遠心移動とは? 上顎の奥歯(臼歯)を後ろに動かす治療法で、前歯部にスペースを作りたい場合に用いられます。 奥歯を少しずつ遠心(後方)に動かすことで、混み合った前歯を整えるための空間を確保します。特に非抜歯矯正でスペースを作りたい場合に有効です。 治療の概要 主訴 前歯が出ている 年齢・性別 30代女性 治療期間 半年 治療費用 440,000円(インビザライン)+検査33,000円+リテーナー33,000円 備考 抜歯なし過去に矯正の経験あり(後戻りケース) その他 住まい 神奈川県 症状 叢生 治療方針 IPR、上顎臼歯遠心移動 矯正装置 マウスピース型矯正装置(アライナー装置) アライナー枚数 18ステージ(10日交換) リテーナー マウスピース 代表的な副作用 痛み・治療後の後戻り・歯根吸収・歯髄壊死・歯肉退縮 マウスピース矯正を見る

2025.03.29

[非抜歯]前歯のマウスピース矯正症例

正面・下顎・上顎の治療前後の比較写真 Before After Before After Before After 患者様のお悩み 笑ったときの前歯がずっと気になっていたようで、他の歯科治療を当院にて行う際にご相談いただき治療を行いました。 当院からの治療の提案 IPR(*1)、上顎臼歯遠心移動(*2)を組み込み、咬合の再構成を図りました。 *1 IPRとは? IPRは、歯と歯の間のエナメル質を少しだけ削ってスペースを作る方法です。 削る量はごくわずかで、歯並びの改善のために必要なスペースを確保するために使われます。歯を抜かずに矯正治療を進めたい場合や、少しだけのスペースが必要な場合に有効です。 *2 上顎臼歯遠心移動とは? 上顎の奥歯(臼歯)を後ろに動かす治療法で、前歯部にスペースを作りたい場合に用いられます。奥歯を少しずつ遠心(後方)に動かすことで、混み合った前歯を整えるための空間を確保します。特に非抜歯矯正でスペースを作りたい場合に有効です。 治療の概要 主訴笑った時の前歯が気になる。 年齢・性別20代女性 治療期間6ヵ月 治療費用440,000円(インビザライン)+検査33,000円+リテーナー33,000円 備考抜歯なし その他 住まい神奈川県 症状叢生 治療方針IPR、上顎臼歯遠心移動 矯正装置マウスピース型矯正装置(アライナー装置) アライナー枚数14ステージ(10日交換) リテーナーマウスピース 代表的な副作用痛み・治療後の後戻り・歯根吸収・歯髄壊死・歯肉退縮 マウスピース矯正を見る

2025.03.21

治したところがまた虫歯!!?? 二次虫歯症例

こんにちは!中川クオーレ歯科です! 「先生、なんで治したのにまた虫歯になっているの?」 よくされる質問です。 今回は再発についてお話していきます。 ズバリ、再発はどう治すかによって変わっていきます。 「嚙み合わせが強い人をプラスチックで修復して割れてしまった →またプラスチックで治すと再度割れる可能性大」 といったように原因が解決できていない状態での処置はどうしても再発を招きます。 また材質の劣化による「二次虫歯」といった現象があります。 今日はその修復症例を示します。 二次虫歯については次回にお話ししていきますね。 患者様のお悩み 左下銀歯の部分がいたい 以前銀歯で修復治療をされていたようですが、銀歯の中の部分が虫歯に。 虫歯になりにくく、長く使えることや体に安全なこと、審美的にも優れている様々な点からセラミック修復を選択されました。   施術の内容 金属をはずし、虫歯の除去、神経の保護を行い、補綴治療(詰め物)の治療を行った。   治療期間 1ヶ月 回数 2回 費用 e-max IN  48.000×1本   考えられるリスク、副作用 極端な強い衝撃で割れる・欠ける場合があります。 治療時に痛み・咬合時痛・冷温水痛を生じることがあります。 治療後2年以内であれば無償で再治療を行います。2年保証を受けるには当院にて年2回以上のメンテナンスが必要になります。 (メンテナンスは一般的にご自身の歯の場合でも必要であると思われます。)  

2024.07.22

審美修復症例

患者様のお悩み 銀歯を白くしたい 以前銀歯で修復治療をされていたようですが、銀歯の中の部分が虫歯に。 長く使えることや体に安全なこと審美的にも優れていることからセラミック治療を希望されました。   施術の内容 金属をはずし、虫歯の除去、神経の保護を行い、補綴治療(詰め物)の治療を行った。   治療期間 1ヶ月 回数 4回 費用 e-max IN  48.000×4本   考えられるリスク、副作用 極端な強い衝撃で割れる・欠ける場合があります。 治療時に痛み・咬合時痛・冷温水痛を生じることがあります。 治療後2年以内であれば無償で再治療を行います。2年保証を受けるには当院にて年2回以上のメンテナンスが必要になります。 (メンテナンスは一般的にご自身の歯の場合でも必要であると思われます。)  

2024.06.26

【非抜歯】後戻りのやり直し矯正治療

正面・下顎・上顎の治療前後の比較写真 Before After Before After Before After 患者様のお悩み 10年前に矯正治療を抜歯で行ったが、後戻りが起こってしまい、また歯並びが悪くなったとのことで、当院にご来院されました。本症例は、そのリペアケース(やり直しの治療)になります。 当院からの治療の提案 すでに抜歯矯正をされていたため極力抜歯を避けるような計画を立てました。歯列弓拡大(*1)とIPR(*2)、上顎臼歯遠心移動(*3)を組み込み、咬合の再構成を図りました。 *1 歯列弓拡大とは? 歯列弓とは、画像の赤線が描く孤(アーチ)のことをいい、歯がきれいに並ぶように、この歯列弓を広げることを「歯列弓拡大」といいます。 これは、狭い歯列や混み合った歯に対してスペースを作るために行われ、拡大装置を使って少しずつ歯列を広げ、歯が正しく並ぶための空間を確保することが目的です。 特に成長期の子どもに多く行われますが、成人でも対応可能です。 *2 IPRとは? IPRは、歯と歯の間のエナメル質を少しだけ削ってスペースを作る方法です。 削る量はごくわずかで、歯並びの改善のために必要なスペースを確保するために使われます。歯を抜かずに矯正治療を進めたい場合や、少しだけのスペースが必要な場合に有効です。 *3 上顎臼歯遠心移動とは? 上顎の奥歯(臼歯)を後ろに動かす治療法で、前歯部にスペースを作りたい場合に用いられます。奥歯を少しずつ遠心(後方)に動かすことで、混み合った前歯を整えるための空間を確保します。特に非抜歯矯正でスペースを作りたい場合に有効です。 治療の概要 主訴前歯のガタガタ 年齢・性別30代女性 治療期間半年 治療費用880,000円(インビザラインフル)+検査33,000円+リテーナー33,000円 備考抜歯なし その他 住まい東京都 症状叢生・右側シザースバイト 治療方針IPR、上顎臼歯遠心移動 矯正装置マウスピース型矯正装置(アライナー装置) アライナー枚数42ステージ(7日交換) リテーナー裏側のワイヤー 代表的な副作用痛み・治療後の後戻り・歯根吸収・歯髄壊死・歯肉退縮 マウスピース矯正を見る

2024.06.13

入れ歯からインプラントに変えたい

治療前後の写真 患者様のお悩み 入れ歯を使うとご飯が美味しくない、取り外しの手間がかかるのでインプラントにしたい インプラントの本数を少なくして、費用を抑えたい 現在入れ歯を使用されていますが、その使用感の悪さ、特にご飯が美味しく感じないということで、インプラントをご検討されておりました。 また、入れ歯は日々の取り外しや洗浄の手間が発生するため、とても管理が大変です。そのため、取り外しのないインプラントが良いとおっしゃっていました。 施術の内容 インプラント治療で歯を作る 歯がない部分にインプラント治療で歯を作ります。顎の骨にインプラントを固定し、上部構造(歯の部分)を装着して見た目と噛み合わせを回復させます。 神経の走行が前歯部歯槽部直下まで下りていたケースだったので、それを避けるようにインプラントブリッジでの修復を行いました。 治療期間4ヶ月 回数4回 費用 インプラントオペ220,000円×2本 インプラントセラミッククラウン220,000円×2本 ポンティック部セラミッククラウン110,000円×2本 骨が薄い場合は骨を足す費用がかかります。 骨造成30,000円~100,000円 考えられるリスク、副作用 インプラント手術後は反応性の出血、腫れ、あざがでる場合がありますが時間経過とともに治ります。喫煙、糖尿病、加齢、清掃不良などに伴いインプラント周囲の骨に炎症が起こり、再治療が必要になる場合があります。 治療後10年以内であれば無償で再治療を行います。10年保証を受けるには当院にて年2回以上のメンテナンスが必要になります。(メンテナンスはインプラント治療に関わらず、一般的にご自身の歯の場合でも必要であると思われます。)

2024.06.06

 

[中川で愛される歯医者に]
優しく丁寧な治療を心がけ、頼られるクリニックに。
きっと好きになる中川の歯医者さん。

診療時間
10:00-13:00 /
15:00-20:00 / / /

◎土曜・日曜は9:00-15:00  休診日:火曜・祝日
※日曜はセミナーや勉強会等で
臨時休診になる可能性があります

電話番号045-507-5665

〒224-0001 神奈川県横浜市都筑区中川1-10-9 Fika.S 1階

〒224-0001
神奈川県横浜市都筑区中川1-10-9 Fika.S 1階

横浜市営地下鉄ブルーライン「中川駅」
2番出口より徒歩30秒