Nakagawa.Cuore.Dental中川クオーレ歯科[中川で愛される歯医者に]
優しく丁寧な治療を心がけ、頼られるクリニックに。
きっと好きになる中川の歯医者さん。
| 診療時間 | 月 | 火 | 水 | 木 | 金 | 土 | 日 |
|---|---|---|---|---|---|---|---|
| 10:00-13:00 | ● | / | ● | ● | ● | ◎ | ◎ |
| 15:00-20:00 | ● | / | ● | ● | ● | / | / |
◎土曜・日曜は9:00-15:00 休診日:火曜・祝日
※日曜はセミナーや勉強会等で
臨時休診になる可能性があります
電話番号045-507-5665
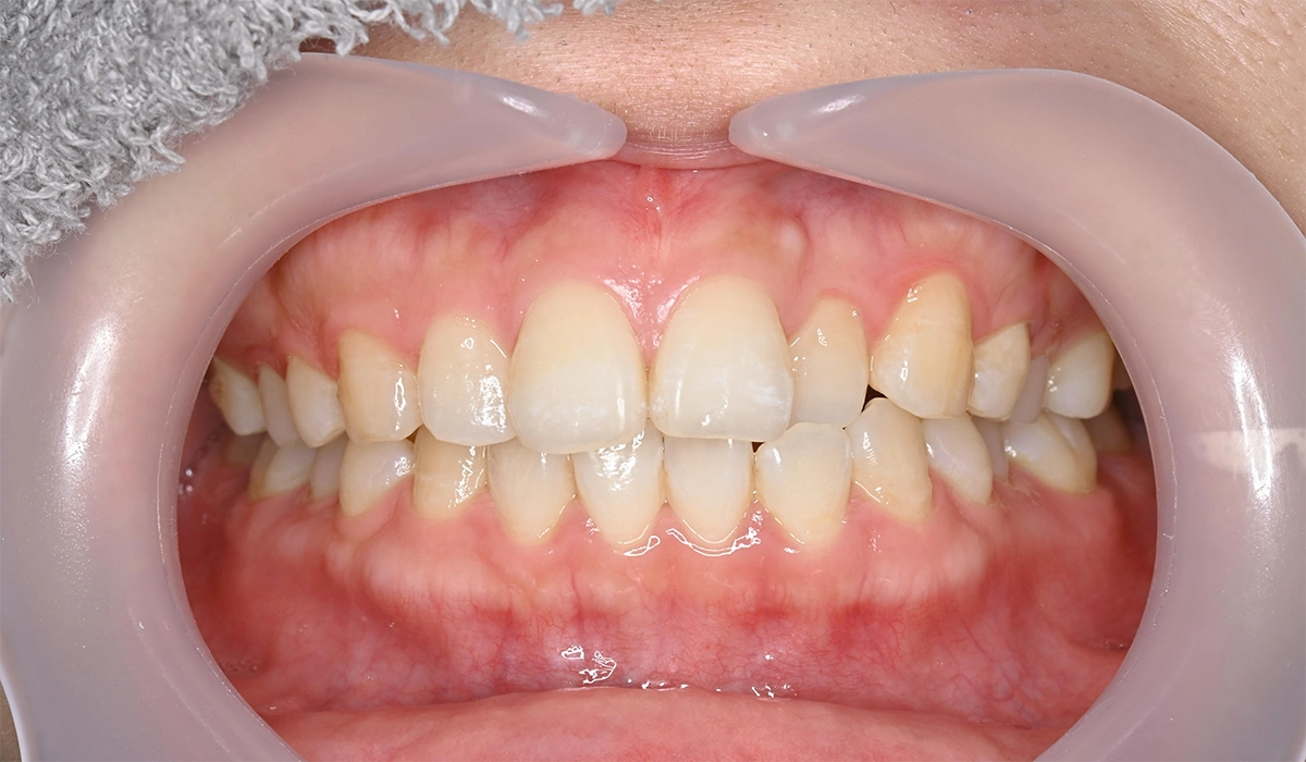
前歯の並びが気になるとのことで、当院にご来院されました。特に上下の前歯にガタつきがあり、「人前で笑うときに歯並びが気になる」「写真を撮るときに口元が気になる」とご相談いただきました。
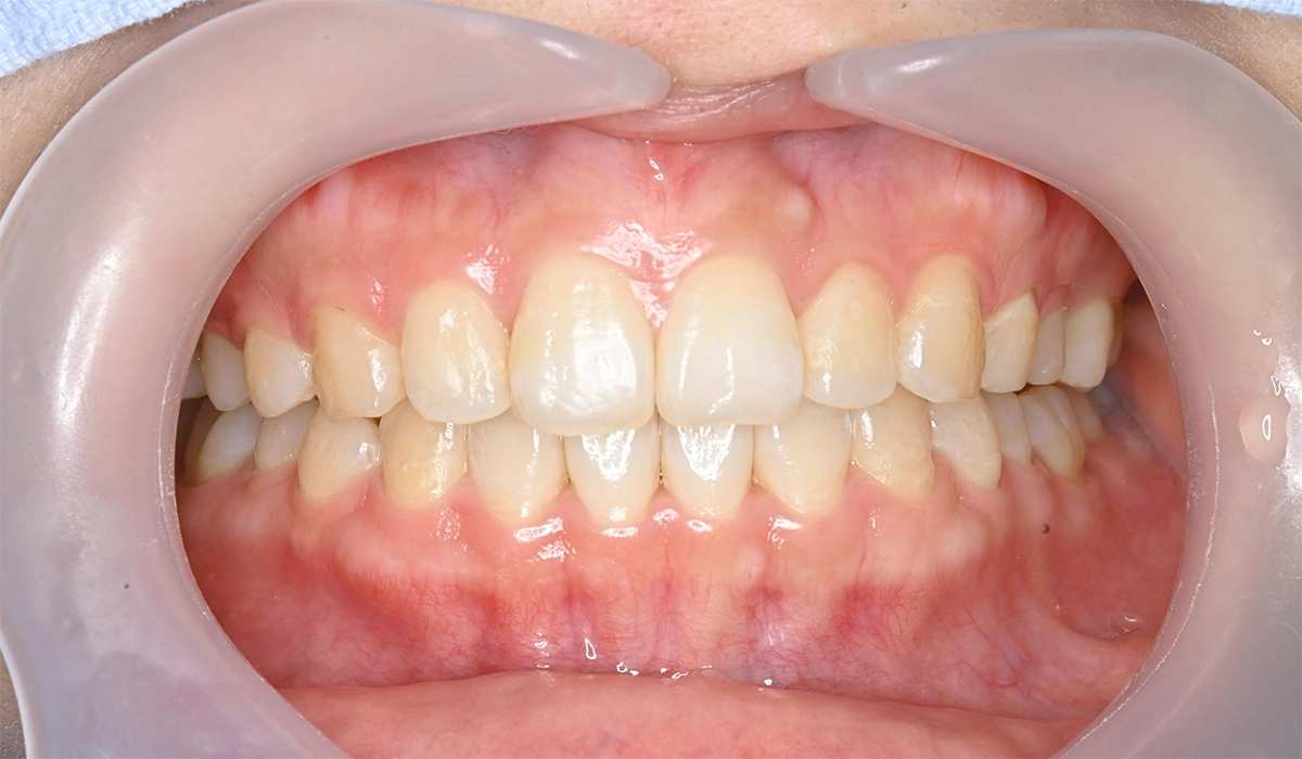
治療前は上下の前歯に軽度から中等度の叢生(歯の重なり)が見られましたが、治療後には前歯のガタつきが改善され、整った歯並びに仕上がっているのが分かるかと思います。
また、上下の歯の噛み合わせも適切に調整されています。
まずは口腔内写真、レントゲン撮影、デジタルスキャンなど、矯正治療に必要な精密検査を実施しました。
その結果、奥歯の噛み合わせは良好で、歯を並べるスペースを確保できれば、抜歯をせずに治療が可能であると診断しました。
患者様からは、「できれば健康な歯を抜きたくない」「仕事中も目立たない方法がいい」とのご要望があったため、以下の治療計画をご提案しました。
透明で目立ちにくいマウスピース矯正であれば、日常生活や仕事への影響を最小限に抑えられること、取り外しができるため衛生管理がしやすいことをご説明し、患者様にもご納得いただいたうえで治療を開始しました。
治療期間は約8ヶ月で終了しました。前歯のガタつきが改善され、自然で整った歯並びに仕上がりました。
患者様からは「思っていたより早く終わった」「治療中も周りに気づかれなかった」「笑顔に自信が持てるようになった」と喜びの声をいただきました。
治療後は後戻りを防ぐため、リテーナー(保定装置)を装着していただいています。
今回のように、軽度から中等度の叢生で奥歯の噛み合わせに問題がない症例では、IPRと臼歯の遠心移動を組み合わせることで、抜歯をせずに治療できるケースが多くあります。
マウスピース型矯正装置は、目立ちにくく取り外しができるため、特に社会人の方や、日常生活への影響を最小限に抑えたい方に適した治療法です。
ただし、すべての症例に非抜歯矯正やマウスピース矯正が適応できるわけではありません。
骨格的な問題がある場合や、重度の叢生がある場合は、抜歯矯正やワイヤー矯正が必要になることもあります。
お口の状態をしっかりと診査・診断したうえで、患者様に最適な治療プランをご提案いたしますので、まずはお気軽にご相談ください。
| 主訴 | 前歯の並びが気になる |
|---|---|
| 年齢・性別 | 20代女性 |
| 症状 | 叢生(歯の重なり) |
| 治療期間 | 8ヶ月 |
| 治療費 | インビザライン治療費:880,000円 検査費:33,000円 リテーナー:33,000円 合計:946,000円 デンタルローンによるお支払いで、月々21,000円 |
| 治療内容 | マウスピース型矯正装置による非抜歯矯正 IPR、上顎臼歯遠心移動 |
| 使用装置 | マウスピース型矯正装置 (インビザライン) 24ステージ(10日交換) |
| リスク・ 副作用 |
痛み・治療後の後戻り・歯根吸収・歯髄壊死・歯肉退縮 |
Nakagawa.Cuore.Dental中川クオーレ歯科[中川で愛される歯医者に]
優しく丁寧な治療を心がけ、頼られるクリニックに。
きっと好きになる中川の歯医者さん。
| 診療時間 | 月 | 火 | 水 | 木 | 金 | 土 | 日 |
|---|---|---|---|---|---|---|---|
| 10:00-13:00 | ● | / | ● | ● | ● | ◎ | ◎ |
| 15:00-20:00 | ● | / | ● | ● | ● | / | / |
◎土曜・日曜は9:00-15:00 休診日:火曜・祝日
※日曜はセミナーや勉強会等で
臨時休診になる可能性があります
電話番号045-507-5665