Nakagawa.Cuore.Dental中川クオーレ歯科横浜市営地下鉄ブルーライン「中川駅」から徒歩30秒の歯医者

2025.10.14

マウスピース矯正による下顎叢生の改善

非抜歯での部分的な歯並び改善

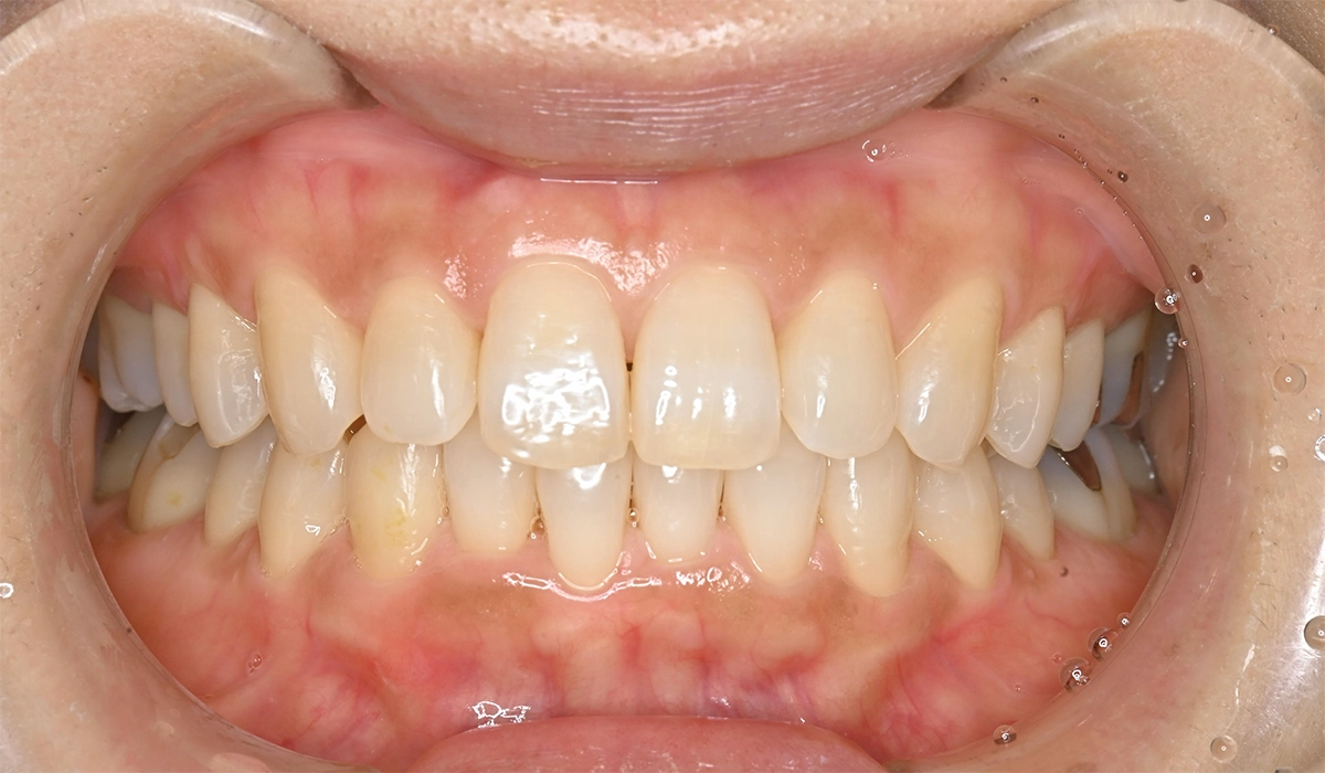
治療前後の比較写真

Before

Before

下の前歯に歯の重なり(叢生)が見られる状態です。

After

After

下の前歯の歯並びが改善され、整った状態になっています。

患者様のお悩み

下の歯の並びがガタついているとのことで、当院の矯正相談にお越しになりました。特に下の前歯の重なりが気になり、「笑ったときに下の歯が見えるのが気になる」「歯磨きがしづらい」とご相談いただきました。

比較写真から分かる変化

治療前は下の前歯に叢生(歯の重なり)が見られ、歯が重なり合っている状態でした。治療後には下の前歯のガタつきが改善され、綺麗に並んだ歯並びに仕上がっているのが分かるかと思います。

上の歯の並びも維持しながら、下の歯を中心に改善することができました。

治療計画の立案

まずは口腔内写真、レントゲン撮影、デジタルスキャンなど、矯正治療に必要な精密検査を実施しました。

その結果、主に下の前歯の叢生が問題であり、上の歯の並びは比較的良好な状態でした。

歯を並べるスペースを確保できれば、抜歯をせずに治療が可能であると診断しました。

患者様からは「できれば健康な歯を抜きたくない」「仕事中も目立たない方法がいい」とのご要望があったため、以下の治療計画をご提案しました。

治療方針

  • IPR(歯と歯の間を少し削る処置)
    歯と歯の間を0.2〜0.5mm程度削り、歯を並べるスペースを確保
  • 非抜歯での矯正治療
  • 下の歯を中心とした歯並びの改善

使用装置

  • マウスピース型矯正装置(インビザライン)
  • アライナー枚数:10ステージ(10日交換)+ 追加11ステージ

透明で目立ちにくいマウスピース矯正であれば、日常生活や仕事への影響を最小限に抑えられること、取り外しができるため衛生管理がしやすいことをご説明し、患者様にもご納得いただいたうえで治療を開始しました。

治療を終えての結果

治療期間は約8ヶ月で終了しました。下の前歯のガタつきが改善され、自然で整った歯並びに仕上がりました。

治療の途中で歯の動きを確認し、追加で11ステージのアライナーを使用することで、より理想的な歯並びを実現することができました。

患者様からは「下の歯が気にならなくなった」「歯磨きがしやすくなった」「治療中も周りに気づかれなかった」と喜びの声をいただきました。治療後は後戻りを防ぐため、リテーナー(保定装置)を装着していただいています。

担当歯科医師からの所感

今回のように、下の前歯を中心とした軽度から中等度の叢生の症例では、IPRを活用することで、抜歯をせずに治療できるケースが多くあります。

治療の途中で歯の動きを評価し、必要に応じて追加のアライナーで微調整を行うことで、より満足度の高い仕上がりを実現できます。

今回も当初の10ステージに加えて11ステージを追加することで、理想的な歯並びを達成することができました。

マウスピース型矯正装置は、目立ちにくく取り外しができるため、特に社会人の方や、日常生活への影響を最小限に抑えたい方に適した治療法です。

ただし、すべての症例に非抜歯矯正やマウスピース矯正が適応できるわけではありません。骨格的な問題がある場合や、重度の叢生がある場合は、抜歯矯正やワイヤー矯正が必要になることもあります。

お口の状態をしっかりと診査・診断したうえで、患者様に最適な治療プランをご提案いたしますので、まずはお気軽にご相談ください。

治療の詳細

主訴 下の歯の並びがガタついている
年齢・性別 30代女性
症状 叢生(歯の重なり)
治療期間 8ヶ月
治療費 インビザライン:500,000円
検査費:33,000円
リテーナー:33,000円
合計:566,000円
治療内容 マウスピース型矯正装置による非抜歯矯正
IPR
(歯と歯の間を少し削る処置)
使用装置 マウスピース型矯正装置
(インビザライン)
10ステージ
(10日交換)+ 追加11ステージ
リスク・
副作用
痛み・治療後の後戻り・歯根吸収・歯髄壊死・歯肉退縮

[中川で愛される歯医者に]
優しく丁寧な治療を心がけ、頼られるクリニックに。
きっと好きになる中川の歯医者さん。

診療時間
10:00-13:00 /
15:00-20:00 / / /

◎土曜・日曜は9:00-15:00  休診日:火曜・祝日
※日曜はセミナーや勉強会等で
臨時休診になる可能性があります

電話番号045-507-5665

〒224-0001 神奈川県横浜市都筑区中川1-10-9 Fika.S 1階

〒224-0001
神奈川県横浜市都筑区中川1-10-9 Fika.S 1階

横浜市営地下鉄ブルーライン「中川駅」
2番出口より徒歩30秒