Nakagawa.Cuore.Dental中川クオーレ歯科[中川で愛される歯医者に]
優しく丁寧な治療を心がけ、頼られるクリニックに。
きっと好きになる中川の歯医者さん。
| 診療時間 | 月 | 火 | 水 | 木 | 金 | 土 | 日 |
|---|---|---|---|---|---|---|---|
| 10:00-13:00 | ● | / | ● | ● | ● | ◎ | ◎ |
| 15:00-20:00 | ● | / | ● | ● | ● | / | / |
◎土曜・日曜は9:00-15:00 休診日:火曜・祝日
※日曜はセミナーや勉強会等で
臨時休診になる可能性があります
電話番号045-507-5665
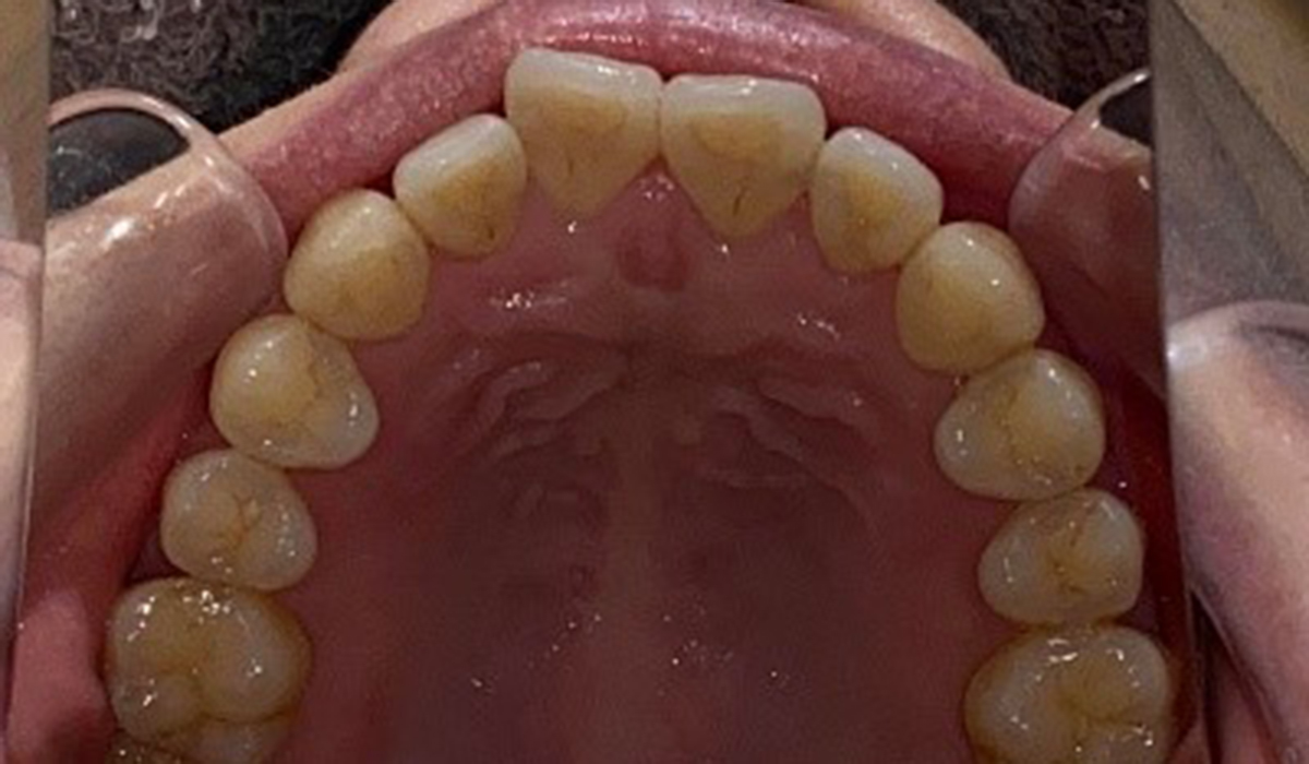
過去に矯正治療を行ったが、後戻りが起こってしまい、また歯並びが悪くなったとのことで、当院にご来院されました。本症例は、そのリペアケース(やり直しの治療)になります。
IPR(*1)、上顎臼歯遠心移動(*2)を組み込み、咬合の再構成を図りました。
IPRは、歯と歯の間のエナメル質を少しだけ削ってスペースを作る方法です。
削る量はごくわずかで、歯並びの改善のために必要なスペースを確保するために使われます。歯を抜かずに矯正治療を進めたい場合や、少しだけのスペースが必要な場合に有効です。
上顎の奥歯(臼歯)を後ろに動かす治療法で、前歯部にスペースを作りたい場合に用いられます。
奥歯を少しずつ遠心(後方)に動かすことで、混み合った前歯を整えるための空間を確保します。特に非抜歯矯正でスペースを作りたい場合に有効です。
| 主訴 | 前歯が出ている |
|---|---|
| 年齢・性別 | 30代女性 |
| 治療期間 | 半年 |
| 治療費用 | 440,000円(インビザライン) +検査33,000円 +リテーナー33,000円 |
| 備考 | 抜歯なし 過去に矯正の経験あり(後戻りケース) |
| 住まい | 神奈川県 |
|---|---|
| 症状 | 叢生 |
| 治療方針 | IPR、上顎臼歯遠心移動 |
| 矯正装置 | マウスピース型矯正装置(アライナー装置) |
| アライナー枚数 | 18ステージ(10日交換) |
| リテーナー | マウスピース |
| 代表的な副作用 | 痛み・治療後の後戻り・歯根吸収・歯髄壊死・歯肉退縮 |
Nakagawa.Cuore.Dental中川クオーレ歯科[中川で愛される歯医者に]
優しく丁寧な治療を心がけ、頼られるクリニックに。
きっと好きになる中川の歯医者さん。
| 診療時間 | 月 | 火 | 水 | 木 | 金 | 土 | 日 |
|---|---|---|---|---|---|---|---|
| 10:00-13:00 | ● | / | ● | ● | ● | ◎ | ◎ |
| 15:00-20:00 | ● | / | ● | ● | ● | / | / |
◎土曜・日曜は9:00-15:00 休診日:火曜・祝日
※日曜はセミナーや勉強会等で
臨時休診になる可能性があります
電話番号045-507-5665